Bestimmung der Füllstoffdispersion

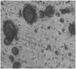
Eine der wichtigsten Mischungs- bzw. Vulkanisateigenschaften in der Kautschukverarbeitung ist der Dispersionsgrad der verwendeten aktiven Füllstoffe in der Kautschukmatrix. Das DIK entwickelte die lichtoptische Methode DIAS (Dispersion Index Analysis System), bei der präparationstechnisch wenig anspruchsvolle Proben untersucht werden. Glanzschnitte (planparallele Rasierklingenschnitte) des Mischungsfells oder Vulkanisates werden unter dem Objektiv eines Auflichtmikroskops mit Objektbeleuchtung durch das Objektiv betrachtet. Das erhaltene Bild wird über eine CCD-Kamera in die Bildverarbeitungskarte eines PCs eingelesen und liegt damit in digitalisierter Form zur Weiterverarbeitung vor. Nach interaktiver Festlegung der Grauwertschwelle zur Erkennung der Rußagglomerate werden die Flächen der erkannten Rußpartikel automatisch ausgewertet. 

Die Daten werden zur Berechnung des Dispersionsgrades und/oder zur Bestimmung der Agglomeratgrößenverteilung des nicht dispergierten Rußes herangezogen.

Damit werden verschiedene Mischzustände ausgezeichnet charakterisiert. Korrelationen mit den Mischungs- und Vulkanisateigenschaften sind statistisch signifikant.

Ansprechpartner:

Dr. H. Geisler
Tel. 0511 84201-12